Home
About
About us
Our Culture
Honors
Services
Ex-VIVO Evaluation
In-VIVO Evaluation
Imageology
Clinical Laboratory
Histopathology
News
Company News
Industry News
Notice
Contact
Home
>
Services
>
Histopathology
>
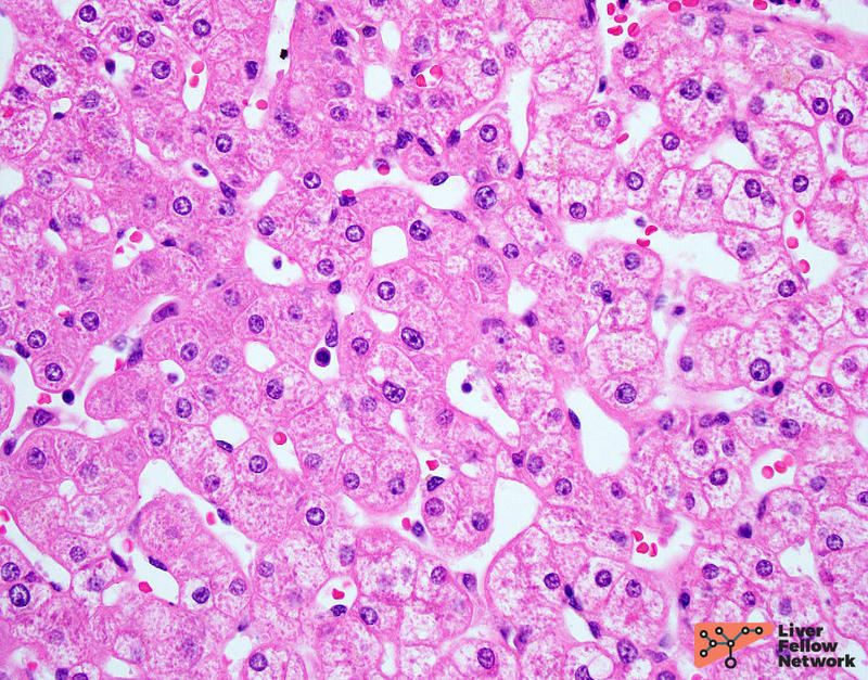
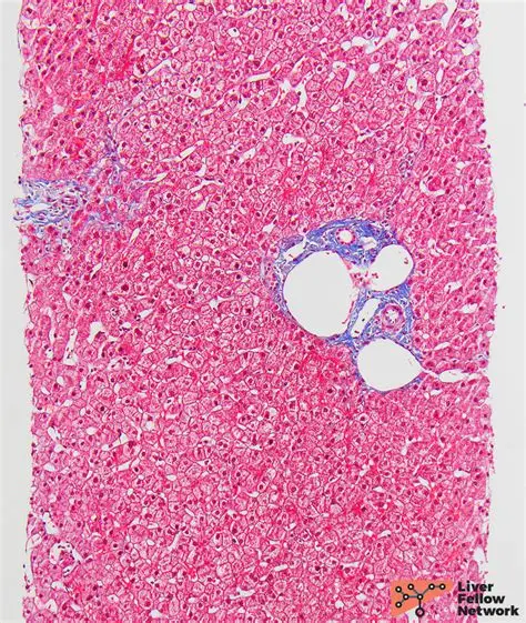
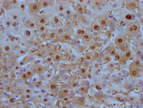
HE/IHC
Services
Ex-VIVO Evaluation
▼
In-VIVO Evaluation
▼
PK/PD
Animal disease model
Early toxicity assessment
Imageology
▼
MRI/CT/DSA/DEXA/Ultrasound
Clinical Laboratory
▼
Complete blood count/Biochemistry
Flow cytometry/Cytometric Bead Array
Histopathology
▼
HE/IHC
Special staining
HE/IHC
About
About us
Our Culture
Honors
Services
Ex-VIVO Evaluation
In-VIVO Evaluation
Imageology
Clinical Laboratory
Histopathology
News
Company News
Industry News
Notice
Contact
Contact Us
Inquiries
E-mail:andre.wang@pollusbiotech.com
TEL:18550035811
Address:4F, Building 2, Taicang Xingyaogang, No.99 Zhaoxi Road, shaxi town, Taicang City
SEE MORE
Copyright © 2012-2025 Pollus (Suzhou) Biotechnology Co., Ltd Property in copyright
苏ICP备2025223410号
Home
Service
News
TEL